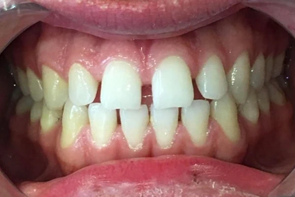
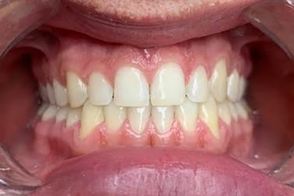
Auf dieser Seite zeigen wir Ihnen ein paar Beispiele mit Vorher-Nachher-Bildern aus unserer Zahnarztpraxis. Bei den meisten Beispielen haben wir eine Zahnfehlstellung mit der transparenten Zahnspange (Aligner) korrigiert und optional im Anschluss ein Bleching durchgeführt.
Sie möchten wissen, ob die fast durchsichtige Zahnspange für Sie geeignet ist? Sehr gerne beraten wir auch Sie in einem unverbindlichen Erstgespräch.

Therapiedauer: 11 Monate

Therapiedauer: 15 Monate

Therapiedauer: 5,5 Monate

Therapiedauer: 11 Monate

Therapiedauer: 10 Monate

Therapiedauer: 22 Monate

Therapiedauer: 13 Monate

Therapiedauer: 11 Monate

Therapiedauer: 5 Monate

Therapiedauer: 11 Monate

Therapiedauer: 11 Monate

Therapiedauer: 11 Monate

Therapiedauer: 11 Monate

Therapiedauer: 11 Monate

Therapiedauer: 11 Monate

Therapiedauer: 13 Monate

Therapiedauer: 14 Monate

Therapiedauer: 13 Monate


Therapiedauer: 9 Monate

Therapiedauer: 11 Monate

Therapiedauer: 9 Monate

Therapiedauer: 18 Monate

Therapiedauer: 13,5 Monate